ADA Accessibility Information
Accessibility

A
A

A
Picasso Dental Care
Picasso Dental Care

Picasso Dental Care
Your Temecula, CA Dentist


Book Appointment
Home Dental Crowns FAQs

Dental Crowns FAQs
Temecula, CA



Dental Crown provided by and in Temecula, CA at

Stages of crown's placement.These are common questions patients usually ask when their dentist recommends a crown for their tooth.

Why do I need a crown on my tooth?


Crowns or "Caps" are the most common recommended treatment in the dental office. The tooth needs a crown when its structure is unable to withstand the normal chewing force. The general rule of thumb: "if the tooth structure has been damaged due to cavity or fracture more than half the width of the tooth, we need to restore it with a crown."

Tooth structure is compromised when it has had a large filling, a broken tooth structure, a crack, or root canal has been done. When a tooth has a visible crack, the potential of a fracture and broken tooth increases. A root canal is usually needed when the cavity has already hit the nerve. During a root canal, the entire cavity and some tooth structures are removed in order to access the nerve. After root canal treatment, the tooth is hollowed on the inside. A tooth with a root canal tooth is like a dead tree which has high probability for fracture. A crown provides the strength for the tooth and protects the tooth from fracturing

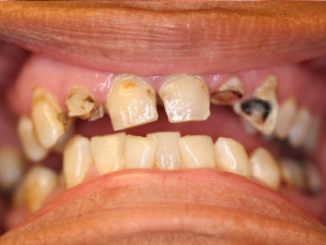
Case 2 of a teeth before crown

Before

Case 2 of a after before crown

After


When should I get my crown done?


The best time to do the crown is before the tooth breaks. Unfortunately, we just don’t know when the fracture will occur. Due to the nature of a crack and fracture, we cannot predict how the cracks will travel and how big the fracture will occur. If the fracture is past the bone level, you will lose the tooth. The consequence of tooth loss is already discussed in our previous newsletter. When your dentist recommends a crown, you should get it done as soon as possible.

What types of crowns are available to pick from?


Crowns can be made of gold, porcelain fused to metal (PFM), or all porcelain. The best material for a crown is 14K gold. Due to the properties of gold metal, it provides the best fit for the crown treatment; but gold creates a cosmetic problem for the cosmetic zone. All porcelain crowns are ranked close to second compared to gold due to the newly discovery of zirconia (a type of porcelain). Pearly white as teeth with the compression strength as steel, Zirconia crown is the perfect solution for the crown treatment. PFM crown is no longer a good choice for single crown treatment due to its limitation on fit and cosmetic appearance.

Case 1 of a teeth before crown

Before

Case 1 of a after before crown

After


What should I expect from a crown treatment after it’s completed?


Crown treatment helps to restore the tooth to its original strength and function. A crown will also provide the cosmetic restoration of the damaged front teeth. Crowns should feel as comfortable and normal as real teeth. A good crown would last up to 20-30 years. With proper routine dental care, crowns will last for many years to come.


Copyright © 2022-2026 Picasso Dental Care and WEO Media - Dental Marketing (Touchpoint Communications LLC). All rights reserved.  Sitemap
Tooth Crowns FAQs - Temecula CA • Picasso Dental Care
Got questions about dental crowns? We've got answers. Check out our FAQ page to learn everything you need to know about this common dental procedure.
Picasso Dental Care, 44605 Avenida De Missiones, Suite 101, Temecula, CA 92592 + (951) 383-2021 + picassodentalcare.com + 4/14/2026 + Page Terms:dentist temecula +